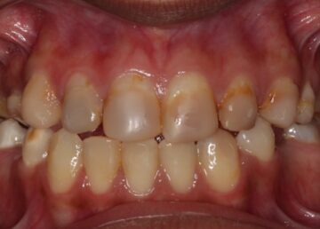
Deze patient was niet meer tevreden met zijn verkleurde vullingen en verkleurde tanden. Er is een behandelplan gemaakt waarbij de oude vullingen en oude composietfacings zijn verwijderd. Hiervoor is een rubber lapje aangebracht om de tanden te isoleren zodat een goede vulling en goed facings kunnen worden gemaakt welke niet gecontamineerd worden door speeksel. Dit kan er namelijk voor zorgen dat de vullingen en composietfacings niet goed blijven zitten of gaan verkleuren. Nadat de oude composietvullingen zijn verwijderd worden er met behulp van een vooraf gemaakte mal composietfacings gemaakt. De patiënt is erg blij met het eindresultaat welke veel frisser en netter is dan de beginsituatie.

Icoon - Check Icoon - Locatie Icoon - Telefoon Icoon - Zoeken Icoon-Social-Facebook Icoon-Social-LinkedIn Logo - Bollen