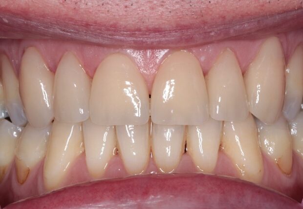
Wat zijn gebitsrenovaties?
Als uw tanden en kiezen niet meer in goede staat verkeren, kan het zijn dat er een gebitsrenovatie nodig is. Bij een gebitsrenovatie zijn vaak meerdere tanden en kiezen verzwakt en dient er een plan te worden gemaakt om deze allemaal weer op te knappen. Indien mogelijk worden de eigen tanden en kiezen behouden. Dit kan vaak door deze weer op te bouwen met restauratiemateriaal (composiet) of keramische restauraties zoals kronen.
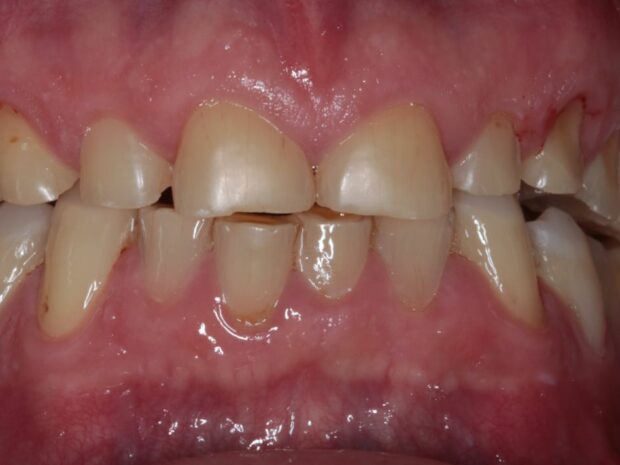
Wanneer is een gebitsrenovatie nodig?
1. Slijtage:
Door ongunstige krachten in de mond en/of door zuren kunnen tanden en kiezen slijten.
2. Verwaarlozing:
Soms zijn mensen door omstandigheden lange tijd niet naar de tandarts geweest. Angst, geen tijd hebben of financiële redenen kunnen hiervan de oorzaak zijn. Het regelmatig afbreken van stukjes van uw tanden of kiezen, pijn, standsveranderingen van de tanden, mobiel worden van tanden en kiezen: het zijn allemaal tekenen dat er iets aan de hand is met uw gebit.
3. Medische redenen:
Bepaalde aandoeningen kunnen ervoor zorgen dat het gebit erg achteruit gaat. Denk hierbij aan medicijngebruik of aandoeningen waardoor er minder speeksel wordt aangemaakt. Het gevolg is dat er gemakkelijker gaatjes (cariës) ontstaan waardoor het gebit verzwakt. Ook kunnen bepaalde tanden en kiezen niet aangelegd zijn waardoor deze ontbreken en tanden en kiezen gaan schuiven. Dat veroorzaakt vaak allerlei slijtageproblemen.
Door wie kunt u een gebitsrenovatie het beste uit laten voeren?
Gebitsrenovaties zijn meestal complexe behandelingen. Het zijn behandelingen waar onze restauratief-tandartsen dagelijks mee bezig zijn. Dit komt de kwaliteit van de behandeling ten goede. Immers ook in de tandheelkunde geldt: des te vaker een behandeling uit wordt gevoerd, des te beter je in in deze behandeling wordt. Daarbij werken onze verschillende tandheelkundige specialisten nauw samen met elkaar, hetgeen zeker bij complexe gebitsrenovaties noodzakelijk is. Zo moet regelmatig de expertise van de endodontoloog of implantoloog ingeroepen worden. Ook de directe samenwerking met het tandtechnisch laboratorium welke in onze praktijk gevestigd zit is onmisbaar bij dit soort complexe behandelingen. Als verwijskliniek met de juiste specialisten, ook op gebied van gebitsrenovaties, worden dit soort behandelingen daarom vaak naar onze kliniek in Rotterdam verwezen.
Hoe ziet het behandeltraject er uit?
Van tevoren worden, door middel van uitgebreid onderzoek, röntgenfoto’s en meestal ook digitale gebitsmodellen uitgebreid bestudeerd om te ontdekken wat precies de oorzaak is van het verval van uw gebit. Na het inventariseren van uw wensen komen wij met meerdere behandelvoorstellen. U krijgt van ons een behandelplan met een begroting die in een aparte afspraak met u besproken worden. Zo staat u bij ons nooit voor verrassingen.
