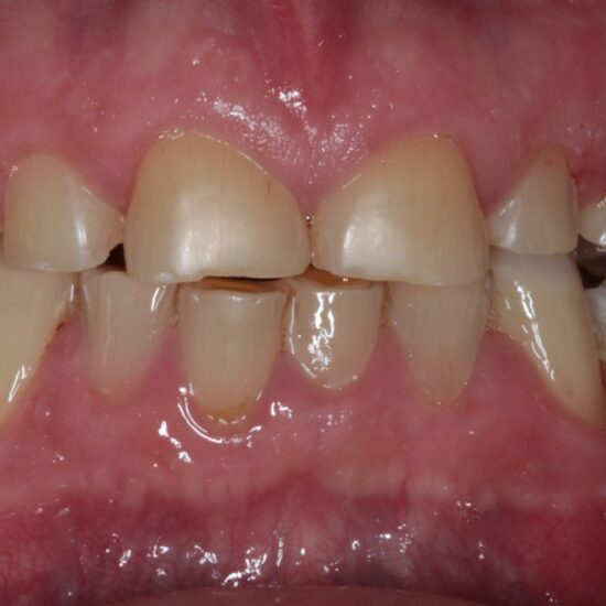
Wat is gebitsslijtage?

Het gebit is onderhevig aan vele krachten in de mond. Normaal gesproken kan het harde laagje om de tanden en kiezen, het glazuur, hier goed tegen. Echter, als de krachten te groot worden zal het glazuur en daarna het zachtere tandbeen sneller slijten. Dit is bijvoorbeeld het geval bij tandenknarsen.

Een andere oorzaak dat tanden en kiezen slijten is het gebruik van zure dranken en/of voeding. De zuren lossen het glazuur, en daarna het tandbeen op. Deze vorm van gebitsslijtage noemen wij erosie.

Bij gebitsslijtage wordt de beschermende glazuurkap van de tanden en kiezen dunner of slijt soms zelfs geheel weg. Daardoor worden de tanden en kiezen gevoeliger voor koude en warme dranken en worden ze korter en minder mooi. Daarbij verzwakken de tanden en kiezen waardoor er stukjes af kunnen breken.

Wat zijn de oorzaken van gebitsslijtage?

1. Ongunstige krachten/wrijving door  attritie of abrasie

Bijvoorbeeld: tandenknarsenklemmen, kauwen op voorwerpen, nagelbijten, drugsgebruik.

2. Erosie door zuren

Bijvoorbeeld: zuur oprispingen, zure dranken zoals  cola, sportdranken en vele andere koolzuurhoudende dranken.

gebitsslijtage

Hoe kan gebitsslijtage worden behandeld?

Gebitsslijtage is te behandelen.  Soms dient er een heel uitgebreid behandeltraject te worden uitgevoerd. Dit hangt af hoe ernstig de gebitsslijtage is.  Voor de behandeling wordt gebruik gemaakt van wit vulmateriaal, zoals composiet en keramiek.  Welk materiaal het meest geschikt is en hoe dit aan wordt gepakt wordt vooraf bepaald tijdens het intake consult. Er vindt dan een uitgebreid mondonderzoek plaats, er worden röntgenfoto’s genomen, lichtfoto’s gemaakt evenals een mondscan. Zo wordt de ernst van de gebitsslijtage beoordeeld en de oorzaak van de slijtage achterhaald. Wanneer dat bekend is wordt er een specifiek behandelplan voor  u gemaakt.

Hoe ziet een behandeltraject voor gebitsslijtage er uit?

Het behandelen van uitgebreide gebitsslijtage is niet eenvoudig. Het is verstandig dit bij een gespecialiseerde tandarts te laten doen. Bij Tandheelkundig Centrum Wilhelminapier in Rotterdam werken restauratieve tandartsen die dagelijks met het behandelen van gebitsslijtage bezig zijn.

Globaal ziet een behandeltraject voor gebitsslijtage er als volgt uit:

Stap 1. Intake consult gebitsslijtage

De eerste stap is het intakeconsult. Alle benodigde informatie wordt verzameld, zoals de aanwezigheid van klachten, röntgenfoto’s, mondscans, lichtfoto’s, (medische) vragenlijsten de klachten. Ook worden de specifieke wensen in kaart gebracht. Na de intake wordt er een behandelplan met een specifieke kostenbegroting gemaakt en u toegezonden. Meestal wordt er een tweede afspraak gemaakt om het behandelplan met u te bespreken.

Stap 2. Bespreken van het behandelvoorstel

Het behandelplan wordt uitgebreid besproken en de vervolgafspraken worden gemaakt. Er is ruim de tijd om al uw vragen te beantwoorden.

Stap 3. Proefopstelling

Er wordt vaak een proefopstelling gemaakt van de nieuwe situatie. Dit kan op een fysiek model of digitaal op de computer. Soms wordt er ook een Digital Smile Design uitgevoerd waarmee er een zo ideaal mogelijk gebitssituatie (en lach) wordt ontworpen passend bij uw wensen. Het doel is een duidelijk beeld te verkrijgen van het te bereiken eindresultaat en de vorm en positie van de tanden en kiezen.

Stap 4. Opbouwen van de versleten tanden en kiezen

Nadat stap 3 is goed bevonden en veelal ook in de mond getest is wordt er gestart met de behandeling. Dit zijn langere behandelingen waarvoor, afhankelijk van de ernst van de gebitsslijtage, meerdere behandelingen voor nodig zijn. De hoeveelheid afspraken is ook afhankelijk van het gebruikte materiaal (composiet of porselein).

Stap 5. Evaluatie en bescherming

De gemaakte restauraties in de mond moeten worden beschermd voor toekomstige slijtage. Daarom wordt er een gebitsbeschermer, of knarsplaat, gemaakt welke ’s nachts gedragen dient te worden.

Onze restauratief tandartsen welke gespecialiseerd zijn in gebitsslijtage:

Sven Bakx

ZZP Restauratief-tandarts / Tandarts-implantologie

Phillip van Rijn

ZZP Restauratief-tandarts

Maak vandaag nog een afspraak met onze restauratieve tandarts in Rotterdam!

Bent u benieuwd naar de kosten van een behandeling door onze restauratieve tandarts? Wilt u meer informatie over esthetische behandelingen in Rotterdam? Of wilt u graag een second opinion voordat u een beslissing neemt? Maak vandaag nog een afspraak via het formulier of bel ons op 010 290 9509.

tandheelkundig centrum wilhelminapier
Icoon - Check Icoon - Locatie Icoon - Telefoon Icoon - Zoeken Icoon-Social-Facebook Icoon-Social-LinkedIn Logo - Bollen