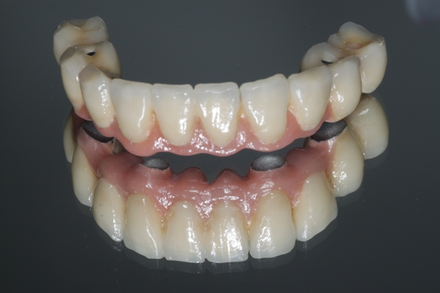
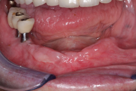
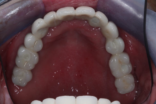
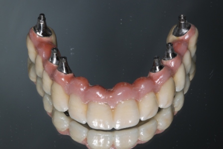
Als mensen niet kunnen wennen aan een los gebit kan er een volledig vaste brug op implantaten worden gemaakt. Dit kan zowel in de onderkaak als in de bovenkaak. Er kan gekozen worden voor porseleinen tanden of voor kunststof tanden. Porseleinen tanden zijn het mooist maar ook kostbaarder. De brug zit volledig vast op de implantaten en kan niet losgehaald worden.

Onderstaand treft u een aantal voorbeelden van behandelingen die door onze implantoloog zijn uitgevoerd. Klik op de afbeelding voor een grotere weergave.

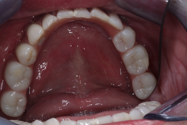
Volledig vaste brug op implantaten

 

 

Maak vandaag nog een afspraak voor een volledig vaste brug op implantaten!

Benieuwd naar de mogelijkheden om een kunstgebit te vervangen voor een volledig vaste brug op implantaten? Of wilt u meer informatie over een “all on four” brug? Wilt u graag een second opinion voordat u een beslissing neemt? Maak vandaag nog een afspraak via het formulier of bel ons op 010 290 9509.

tandheelkundig centrum wilhelminapier
Icoon - Check Icoon - Locatie Icoon - Telefoon Icoon - Zoeken Icoon-Social-Facebook Icoon-Social-LinkedIn Logo - Bollen