Bij Tandheelkundig Centrum Wilhelminapier in Rotterdam wordt een implantaatbehandeling in vijf stappen uitgevoerd:
Stap 1: Eerste intake consult
Iedereen die naar ons centrum in Rotterdam wordt verwezen zal eerst gezien worden voor een eerste intake implantaatconsult. Tijdens dit consult wordt gekeken of de mond geschikt is voor de plaatsing van een implantaat waarna een op maat gemaakt behandelplan met kostenbegroting en tijdsplanning wordt voorgesteld.
Er wordt veel aandacht besteed aan een tijdelijke voorziening: u hoeft bij ons nooit zonder tanden of kiezen de praktijk te verlaten!
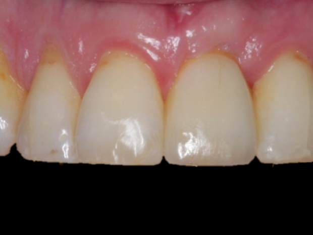
Stap 2: Implantaatbehandeling
Het tandvlees wordt eerst plaatselijk verdoofd waarna er een kleine opening in het tandvlees gemaakt wordt. Met een kleine boortje wordt er een gaatje gemaakt in het kaakbot waarna het implantaat geplaatst kan worden. Daarna wordt de wond weer gehecht.
De behandeling is niet pijnlijk omdat deze eenvoudig te verdoven is. Een implantaatbehandeling wordt door patiënten als minder vervelend ervaren in vergelijking met het trekken van een kies.
Plaatsing van implantaten schematisch weergegeven

Stap 3: Nazorg
Eén tot twee weken nadat het implantaat geplaatst is zien wij u terug voor de wondcontrole, nazorg en verwijdering van hechtingen.
Stap 4: Plaatsing van de kroon, brug of klikgebit
De vastgroeiperiode van een implantaat hangt af van het type behandeling, de positie van het implantaat, de hoeveelheid bot dat aanwezig is. Daardoor zal de vastgroeiperiode 2 tot 4 maanden kunnen duren. Tijdens het intake consult zal u hier al over geïnformeerd worden. Als het implantaat vastgegroeid is kan de kroon, brug of klikgebit worden geplaatst. Nadat dit gedaan is wordt u goed uitgelegd hoe u deze moet reinigen.
Stap 5: Nazorg
Een jaar nadat het implantaat geplaatst is wordt u nogmaals gezien of het bot stabiel blijft rond het implantaat. Daarna neemt uw tandarts de nazorg over.


