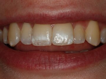
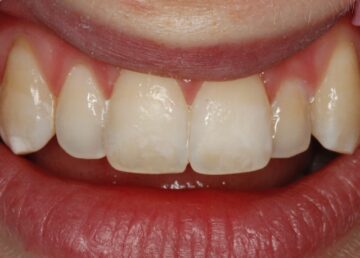
De patiënt klaagde over de witte vlekken op de vier voortanden en vroeg onze restauratieve / esthetische tandarts om een oplossing. De witte vlekken konden behandeld worden met een Icon behandeling. Bij een Icon behandeling wordt er een kunststof geïnfiltreerd in het poreus oppervlakte van de witte vlek.  Om dit mogelijk te maken moet het oppervlakte van de tand behandeld worden zodat de porositeiten open komen te staan. Om te voorkomen dat het tandvlees geïrriteerd raakt worden de tanden eerst geïsoleerd met een blauwkleurig rubber lapje. daarna wordt er  een zure gel aangebracht en een schuurmiddel. Na het licht opschuren van de oppervlakte van de vlek wordt het infiltraat (Icon) aangebracht. Dit wordt uitgehard, zoals bij een vulling, waarna de witte vlekken op de tanden bijna helemaal verdwijnen. Tot slot worden de tanden weer netjes gepolijst.

Icoon - Check Icoon - Locatie Icoon - Telefoon Icoon - Zoeken Icoon-Social-Facebook Icoon-Social-LinkedIn Logo - Bollen