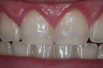
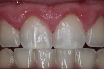
Deze patiënt stoorde zich aan de twee kleine witte vlekjes op beide voortanden (linker afbeelding). Na de behandeling met Icon infiltratie zijn de vlekken verdwenen(rechter afbeelding).

Icoon - Check Icoon - Locatie Icoon - Telefoon Icoon - Zoeken Icoon-Social-Facebook Icoon-Social-LinkedIn Logo - Bollen