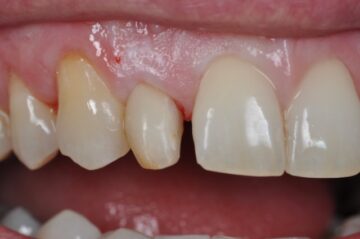
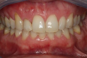
Deze patient heeft een aandoening aan de rechter voortand: een kegelend. Dit is een randjein de vorm van een kegel. In het verleden heeft zijn tandarts de kegelend opgebouwd met vulmateriaal (composiet). De patiënt stoort zich nu aan de verkleuring en de vorm van de tand. Onze restauratieve tandarts heeft het oude vulmateriaal verwijderd en een porseleinen facing geplaatst. Het eindresultaat is veel harmonieuzer: de patient kan weer volop lachen

Icoon - Check Icoon - Locatie Icoon - Telefoon Icoon - Zoeken Icoon-Social-Facebook Icoon-Social-LinkedIn Logo - Bollen