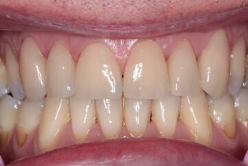
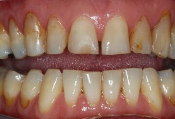
De patiënt klaagde over het esthetisch minder fraaie uiterlijk. Onze restauratief / esthetisch tandarts vervaardigde facings op de tanden waardoor de esthetiek enorm is toegenomen.

Icoon - Check Icoon - Locatie Icoon - Telefoon Icoon - Zoeken Icoon-Social-Facebook Icoon-Social-LinkedIn Logo - Bollen